Adult Braces in Sydney
Straightening your teeth goes beyond appearance, it’s about improving oral health and confidence. Many adults today are turning to dental braces to correct long-standing alignment issues and achieve a balanced smile.
At Bexley Dental, we offer modern orthodontic solutions designed for comfort and lasting results. Whether you’ve dealt with crooked teeth since childhood or developed bite problems later in life, our team can help you find the right treatment. Schedule a free consultation today and take the first step toward a healthier, more confident smile.
Book a Free Tooth Braces Consultation for Adults
Schedule your free 30-minute tooth braces consultation today. One of our skilled dentists will assess your teeth and smile using an advanced OPG panoramic scan (valued at $160) to identify the best treatment for your smile goals.
Whether you prefer classic metal braces or a discreet Invisalign option, our team will design a customised plan that fits your lifestyle. Tooth braces in Australia are now a popular choice among adults seeking improved confidence and lasting oral health.
Each consultation includes 30 minutes with Dr. Joseph Kazzi, along with a personalised orthodontic plan to help you achieve a straighter, healthier smile
Benefits of Tooth Braces for Adults
Choosing adult braces offers many lasting benefits for your oral health and overall well-being. Here are some key advantages of getting tooth braces or dental braces as an adult:
No Age Limit
There’s no age restriction when it comes to dental braces. Adults of any age can achieve straighter teeth and improved confidence with the right orthodontic treatment.
Boosts Self-Esteem
Tooth braces can enhance your smile by aligning your teeth, improving your bite, and helping with clearer speech, boosting your self-esteem and comfort in daily interactions.
Prevent Jawbone Erosion
Misaligned teeth can cause jawbone and gum issues over time. Adult braces correct alignment problems, helping prevent erosion, decay, and other long-term oral health complications.
Improve Bite Alignment
Proper bite alignment achieved through tooth braces or dental braces reduces wear on teeth and supports better chewing, making your smile not just more attractive, but also healthier and stronger.
Adult Orthodontics in Sydney Treatments

Traditional Braces
Unlike the apparent metal contraptions of the past, the latest materials and technologies make braces far less bulky. Most parts can be clear, tooth-coloured, or even ceramic, so they blend in. Traditional braces are best suited to correcting the most complex tooth misalignments, especially those requiring vertical movement or incisor rotations.

Invisalign
The Invisalign system uses a series of clear aligners to correct teeth without the wires and bands of traditional braces. Because they are practically invisible, they are an excellent option for teens and adults.
How Do Traditional Braces Compare To Invisalign?
Traditional Braces
- Average treatment time of 18 -24 months, depending on the patient
- Brackets and wires must be brushed thoroughly at every brushing. It may also be necessary to brush during the day, after meals.
- Monthly appointments to make adjustments and progress treatment
- A retainer is often required after treatment to maintain straightness.
- Traditional braces are the most effective treatment for complex orthodontic issues.
- Wires and brackets may cause some pain or sensitivity, especially inside of the cheeks. You may have some discomfort from tooth movement after adjustments
- Eating sticky or hard foods is not recommended
- Less chance of user error, as braces are not removable during treatment
- It can cause tooth discoloration
- It is not ideal for patients who play contact sports
Invisalign
- Average treatment time of 6-18 months for eligible patients
- Trays can be cleaned with the Invisalign Cleaning System or by brushing and rinsing trays in lukewarm water. Teeth must be brushed after every drink or meal to avoid staining
- Visits every 4-6 weeks to check on treatment progress
- A retainer is often required after treatment to maintain straightness
- May have some discomfort from tooth movement after changing aligner trays
- No impact on eating, but it must be removed before eating or drinking anything besides water. Must brush after each meal to avoid staining
- Invisible and removable for comfort and flexibility
- Must be disciplined about putting trays back in
- Not Ideal for patients with bridgework, bite issues with back teeth, canine teeth or Premolars that need to be rotated, teeth that need vertical adjustment (due to the necessity of tray replacement)
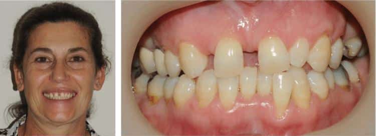
Before
After
Meet Our Adult Braces Expert
Dr. Joseph Kazzi
Associate Dentist
After graduating from Charles Sturt University, he returned to Bexley Dental. Dr. Kazzi has since completed orthodontic training with Invisalign Australia and Progressive Orthodontic Seminars and graduated with the highest honours.
Are Adult Braces Worth It?
Yes, orthodontics treatment for adults can offer aesthetic and functional long-term lifestyle improvements. They can improve oral health, align teeth to improve biting and chewing, and boost confidence.