Invisalign Clear Aligners
Achieve a Confident Smile with Clear Aligners
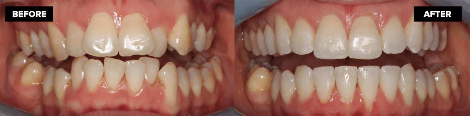
If you have misaligned or crooked teeth, it can affect your confidence and overall oral health. The idea of undergoing orthodontic care can seem overwhelming, especially when you’re concerned about how traditional braces might look or feel.
While metal braces have improved over time, they still come with certain drawbacks:
- They are easily noticeable in your mouth
- They can limit what you eat
- They sometimes cause discomfort
That’s where Invisalign treatment offers a modern solution. Using clear aligners, this innovative approach gently moves your teeth into alignment without the visibility or restrictions of traditional braces. With Invisalign treatment, you can achieve a beautifully straight smile while maintaining comfort, confidence, and convenience throughout your journey.
Book a FREE Invisalign Assessment. We will examine your mouth, eliminate all risk factors and assess the correct course of treatment.

What Is Invisalign?
Invisalign treatment is a modern orthodontic solution that has transformed how people achieve straighter smiles. Instead of using metal brackets and wires, clear aligners gently move your teeth into the desired position through a series of custom-made, removable trays.
These clear aligners are crafted from Invisalign’s patented SmartTrack material, a flexible, durable plastic designed for comfort and precision. Each aligner applies the right amount of pressure to guide your teeth into alignment while allowing you to maintain your regular eating and oral care habits.
Introduced more than 20 years ago, Invisalign treatment was the first widely recognised brand of clear aligners and has helped millions of patients worldwide enhance their smiles. Backed by continuous innovation and research, Invisalign continues to deliver advanced orthodontic care that combines effective materials with state-of-the-art technology for safe, comfortable, and predictable results.

How Do Invisaslign Clear Braces Work?
Instead of using brackets, wires and bands like traditional braces, Invisalign uses a series of clear plastic aligners, similar to teeth whitening trays, to gradually move your teeth. However, unlike teeth whitening trays, each aligner is made specifically for you using 3D computer imaging technology.
With an end-to-end treatment plan, and an entire series of custom-made aligners, you can understand every step of your treatment as well as what your smile will look like when your teeth reach the final desired position.
Then, all you have to do is let them work their magic, while you carry on with your life.
Do Clear Aligners Work as Well as Traditional Braces?
In many cases, clear aligners can effectively replace traditional braces, providing a more comfortable, discreet, and convenient way to straighten teeth. These aligners gradually and precisely move your teeth into the correct position without the need for metal wires or brackets.
If your dentist recommends clear aligners, the success of your treatment depends on wearing them consistently and following instructions carefully. When used as directed, clear aligners can deliver results comparable to traditional braces, often in a shorter period, while allowing you to maintain your natural appearance and comfort throughout the process.

Traditional Braces

Invisalign
Treatment Time
Around 24 months
Cost
From $2,500
Maintenance
High. Brackets and wires must be brushed thoroughly twice a day and after meals.
Dental Visits
Aftercare
Comfort
Lifestyle
Other Pros
Other Cons
Invisalign Vs Remote Aligner Treatments
While Invisalign was the first brand of clear aligner, it is no surprise that other companies have been hot on its heels. In fact, there are now around 27 different brands of clear aligners. The competitors seemingly offer similar treatments using similar products. However, while the aligners might look similar to the untrained eye, they don’t work in the same way and provide exactly the same benefits.
Both Invisalign and other remote treatment aligners aim to do the same thing, provide a comfortable and discreet alternative to traditional braces. However, while on a basic level they are similar, using a series of clear plastic trays to gently force tooth movements, they actually differ greatly:

Service
Invisalign is supervised in-person by an Invisalign dentist throughout, and aligners are custom-made based on digital scans. Remote aligner treatments are also custom-made with digital scans, the major difference is that after you receive your aligners in the post, the treatment is supervised remotely by a licensed dentist.

Scope
While most remote aligner treatments openly inform patients that they treat mild to moderate cases, they don’t fix all bite issues or severe alignments. Invisalign, on the other hand, works to not only straighten teeth but to correct an overbite, underbite and crossbite.

Materials
While both Invisalign and other remote aligner treatments use clear plastic aligners, they are not made from the same material. Invisalign’s team of engineers have vigorously tested more than 260 different materials. The result is an aligner that provides a more comfortable fit while applying just the right amount of force.

Value
Can You Speed Up
Your Invisalign Treatment Time?
The speed of your Invisalign treatment largely depends on Invisalign’s advanced SmartTrack material. This innovative design provides a more comfortable and precise fit compared to older aligner materials. It applies consistent, controlled pressure to move your teeth effectively while maintaining comfort throughout your treatment.
While other clear aligners may seem similar at first, they can lose tension after a few days, which slows down progress. In contrast, Invisalign’s SmartTrack material maintains steady pressure on your teeth, helping achieve better results in less time.
Because of this consistency, Invisalign aligners can often be changed weekly instead of every two weeks, allowing you to complete your Invisalign treatment faster and enjoy your new smile sooner.
Who Is Invisalign Treatment Right For?
Invisalign treatment is ideal for both teenagers and adults who want a virtually invisible and comfortable way to straighten their teeth. Using advanced dental technology, clear aligners can correct a wide range of orthodontic issues, from minor crowding to more complex bite misalignments, without the look or restrictions of traditional braces.
The best way to know if Invisalign treatment is right for you is through a consultation at our practice. During your visit, we’ll explain the entire process, discuss your goals, and outline the level of commitment required to achieve the best results.
Since Invisalign treatment works by gradually moving your teeth, it’s normal to experience mild sensitivity when you first start wearing new clear aligners. This sensation is simply a sign that your teeth are shifting as intended. Thanks to Invisalign’s SmartTrack material, these aligners apply consistent pressure while remaining flexible and comfortable, helping you achieve a straighter smile with ease and confidence.
Why Choose Bexley Dental
To Whiten Your Teeth?
The process of straightening your smile with Invisalign is simple, comfortable and, ultimately, highly successful. There are three main stages to the treatment process:

1. Your Consultation
The first step towards a straighter smile is an initial assessment with your Invisalign dentist. The dentist will evaluate your smile, take 3D scans and build a customised treatment plan. This gives you a chance to not only see a high-resolution interactive image of your teeth, but to get an accurate view of the intended outcome. Only once you are entirely happy will your custom aligners be created.

2. Your Treatment
The success of this part of the treatment is largely in your hands. You will receive a set of aligners and each one will need to be worn for 22 hours a day, with a new aligner used every one to two weeks as per your Invisalign dentist’s advice. As long as you keep up your part of the deal, your aligners will gradually shift your teeth into place. You’ll also visit your dentist every 4-6 weeks to make sure that everything is on track.

3. Your Future
Once you have your new smile firmly in place, you will need to keep on top of your oral health. This will likely mean wearing a retainer to help keep your teeth in place, usually only at night after a while. Then it’s simply a case of keeping up with your oral hygiene, visiting your dentist regularly, and smiling from ear to ear.

How Long Does Invisalign Take to Work?
When it comes to Invisalign teeth straightening, your treatment will be dependent on how much work is required. However, for the average adult, you will need to wear your aligners for around 6-15 months. Do bear in mind, however, that it depends on your individual circumstances. If you have severe misalignment or complex issues, your treatment time will likely be longer.

How Much Does Invisalign Cost?
Similarly to the length of your treatment, the cost of Invisalign is dependent on your circumstances. If you have a complex case that needs to be fixed, then it is going to cost you more. However, usually the cost of Invisalign treatment is comparable to that of braces. And, you don’t have to pay for the whole treatment upfront, whether through your health insurance or a monthly payment plan, there are many ways to manage the cost and get the smile you deserve.
Invisalign Payment Plans
We understand that the Invisalign cost can be a significant investment in your future, which is why we offer several flexible and affordable monthly payment plans:
- Denticare – a 2-year interest-free plan, with a 20% deposit and a $39 set up fee
- Mifund – a six-month interest-free payment plan, with interest added at 13.5% thereafter.
- Mifund – a 36-month payment plan with a 9.49% interest rate.
And, don’t forget, if you’re a health fund member with major dental cover, you may be eligible to claim a rebate for your Invisalign treatment too.
Why Choose Bexley Dental?
Not all dentists are the same when it comes to providing Invisalign in Sydney. While many may offer this treatment, not everyone has completed the specialised training or ongoing clinical education required to deliver consistent, high-quality results.
Bexley Dental is a fully certified provider with years of experience helping patients achieve healthier, more confident smiles. Our team has successfully treated a wide range of orthodontic cases, ensuring not only cosmetic improvements but also proper bite alignment and long-term oral health. With our expertise and patient-focused approach, you can trust that your smile is in capable hands.
Meet The Team
Dr Kyriakos Tambassis
Associate Dentist
Dr Kyriakos has been a dental practitioner since 2012. Initially entering the dental
field as an Oral Health Therapist (USYD – Bachelor of Oral Health) and later becoming a Dental Surgeon with distinction (CSU – Bachelor of Dental Science) where he was awarded the Royal Australasian College of Dental Surgeons Academic Prize for his commitment and efforts to the field of dentistry. Dr Kyriakos has furthered his qualification by completing the Post-Graduate Diploma in Aesthetic Orthodontics.
Throughout his time, Dr Kyriakos has rapidly built experience by working in both public and private sectors within dentistry. This paired with his innate passion for self-improvement and ongoing education Dr Kyriakos stays up to date with current technology and techniques to provide the optimal care, comfort, and improved quality of life for his patients.
Dr. Joseph Kazzi
Associate Dentist
If you’re a long-time patient of Bexley Dental, you’ll recognise Dr. Kazzi as one of our former Oral Health Therapists! He went back to school to study dentistry, juggling his degree work and his Oral Health Therapist position. After graduating from Charles Sturt University, he returned to Bexley Dental as one of our dentists. Dr. Kazzi has since completed orthodontic training with Invisalign Australia and Progressive Orthodontic Seminars and graduated with highest honours.
Frequently Asked Questions
What is Invisalign and how does it work?
Invisalign is a clear aligner orthodontic system which moves your teeth gently and precisely. It works in a series of clear SmartTrack aligners (right), each one moving your teeth a little at a time before moving onto the next one.
How is Invisalign made?
At Bexley Dental we use the state-of-the-art iTero scanner to take a 3D scan of your teeth, which means no uncomfortable impressions! After this we digitally plan how and where to move your teeth, and the aligners are made by Invisalign and sent to us. You will get your first Invisalign aligner 3-4 weeks after the scan is taken.
How long will it take to get my teeth straight?
It depends on how much your teeth need moving and how much your bite needs correcting. Usually it is within 6-15 months.
Will other people notice I’m wearing Invisalign?
Unlike traditional braces, most people will not realise that you are straightening your teeth while wearing Invisalign as it is transparent.
How often will I have to come in for check-ups?
We will usually see you every 6 weeks to review the progress of your teeth movements.
Can I clean my aligners?
Absolutely! Rinsing your aligners with cold water is recommended each time you remove them. You should get into the habit of gently clean your aligners twice a day using antibacterial soap, not toothpaste, which can be abrasive and may scratch your aligners making them more noticeable on your teeth. To keep the aligners in tip-top-condition, soak your Invisalign aligners in denture cleaner once a week.
Do I need to wear my aligners day and night?
Yes. Invisalign needs to be worn for a minimum of 22 hours a day in order to move the teeth in the planned direction (this is 2 hours less than braces!). The clear aligners are only removed to eat and drink anything that is coloured or containing sugar. Teeth should then be brushed and the aligners replaced immediately after.
Are the results as good as traditional braces?
Yes! When worn correctly, Invisalign will get your teeth in the exact same position that braces will, and usually just as quick.
Are there restrictions with what I can eat while in treatment?
No! Unlike braces you can eat what you like. Just remove the aligners, eat whatever you like, clean your teeth and put them back.
Will Invisalign affect my speech?
You may find that in the first week of starting your Invisalign treatment that you have a slight lisp. This quickly goes away as your tongue adjusts to having the aligners on your teeth.
What are Invisalign attachments?
Attachments (or buttons) are small, tooth coloured shapes, placed on certain teeth to allow Invisalign to move them effectively. A tooth that is tipped or rotated will usually need an attachment to bring it into the perfect position. After the Invisalign is finished, these attachments are removed.
What if I break or lose my aligners?
You will need to go back to your previous set of aligners whilst we order a new set from Invisalign. The replacement aligners will incur a charge of $90 AUD
Will my teeth stay straight after it’s finished?
No matter what is used to move teeth (braces or Invisalign), teeth need to be kept in their new position or else they will move back. A removable retainer is used to ensure all of your teeth are kept in their final position. This is a clear tray (similar to your Invisalign) that is worn at night. The removable retainer is included in your Invisalign fee. A fixed retainer is a wire fixed to the inside of your teeth and can be placed so that a removable retainer can be worn less frequently as time goes on (see photo below). This is a small extra fee at the end of your treatment if you wish to do so. Having at least one form of retainer for life is essential to keeping your teeth in their new position.
What payment options are available?
- Pay up front: Receive a 5% discount off the total fee.
- Pay as You Go: 35% deposit paid at your initial visit. The remaining balance is then divided into equal amounts to be paid at each review appointment.
- Customised Payment plan. This can be with $0 deposit and as little as $47 per week with MiFund (interest applies).
What is the fee for Invisalign?
The total fee for your Invisalign treatment will depend on a multitude of factors, your treatment plan is completely tailored to your needs. This will include your consultation, X-rays, photographs, design and manufacture of the Invisalign aligners, all appointments, and removable retainers at the end of treatment. It also includes FREE tooth whitening that can be completed during or immediately after your teeth are straight.
Is Invisalign covered by private health insurance?
Most Health Insurance companies cover a portion of Orthodontic treatment, dependent on your policy and level of cover. Once you receive your treatment plan, you can to contact your fund to enquire about your rebate.
To schedule your assessment, simply pickup the phone
and call us at (02) 9567 4151 today.